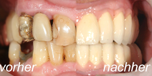
... und so könnte es aussehen...
Wußten Sie...
Ein strahlendes Lächeln ist Ihre Visitenkarte
In unserer durch Hochglanzmagazine geprägten Gesellschaft sind gesunde Zähne ein Muss und Sie geben Ihre "Visitenkarte" mehrmals täglich ab ohne es genau zu wissen
Zähne verraten uns etwas über Ihr Alter
Im Laufe der Gebrauchsphase verliert Ihr Zahn an Zahnschmelz und ändert vor allem auch die Farbe. Dies kann man heutzutage mit Keramikveneers schön kompensieren. Natürlich und glaubwürdig.
Zähne verraten etwas über Ihren Gemütszustand
Stressbedingte Abrasionen in Folge starken Knirschens, können mit keramischen Veneers wieder vollständig rehabilitiert werden. Wer möchten denn schon "verbissen" wirken.
Wir wenden das sogenannte "in-office-Verfahren" an.
Das in-office-Verfahren besticht durch sein deutlicheres und vor allem nachhaltigeres Ergebnis, da höhere Konzentrationen des Medikamentes durch zahnärztliches Personal angewendet werden darf, da bessere Schutzmaßnahmen in der Praxis möglich sind, als dies z.B. bei der alternativen home-bleaching Methode der Fall wäre. Es dauert mit ca. 2 Stunden eher lange und einige Patienten beklagen während der Aktion leichte Beschwerden, manche auch noch Kälteempfindlichkeiten für ein paar Tage.
Seit neuem verwenden wir auch das beautiful smile Konzept. Ein Konzept zur kosmetischen Zahnaufhellung, welches oben erwähnte Nachteile vollkommen ausschält. In nur 21 Minuten können 2 - 9 Farbstufen Aufhellung erreicht werden, absolut schmerzfrei zu einem vergleichbar sensationellen Preis. Das Ergebnis erreicht bei guter Nachsorge eine Bestandsdauer von 4 - 6 Monaten »


